Saldaña i Fetscher, la clínica dental de la plana de l’hospital, 15 de Sant Cugat (al centre de la ciutat), ofereix tractaments per diferents patologies com les Hipomineralitzacions.
Què són les hipomineralitzacions incisivo-molar i com es poden detectar?
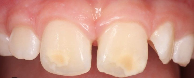
Segurament coneixeu algú o heu vist algun nen/a amb unes taques blanquinoses/groguenques/marronoses en els incisius, normalment els superiors. Aquestes tincions s’anomenen Hipomineralitzacions i afecten d’un a quatre molars i està associat amb algun incisiu afectat, que són els més fàcils de detectar per ser més visibles.
També es poden detectar en dentició temporal, sobretot en els segons molars. Si s’observa, és molt probable que els primers molars definitius també ho presentin.
En els molars, pot haver-hi destrucció important de la corona causant un excés de sensibilitat.
La clínica dental de Sant Cugat Saldana i Fetscher pot tractar les hipomineralitzacions. FOTO: Cedida
Com tractar les hipomineralitzacions incisivo-molar?
Primer de tot, l’objectiu és enfortir aquest esmalt amb pastes dentrífiques molt específiques amb alt contingut de FOSFATS, CALCI i FLUOR, que ajudaran a la remineralització de l’esmalt.
En segon lloc, les lesions que estiguin cavitades, es tractaran amb materials restauradors específics per cada grup dental afectat. El manteniment d’una bona higiene dental és en tots els casos, primordial.
Com demanar cita?
Si sospites que el teu fill o filla pateix una Hipomineralització, pots demanar cita a Saldaña i Fetscher, la teva clínica dental del centre de Sant Cugat, per qualsevol de les vies de contacte. Telèfons, 93 146 35 14 o 693 256 414 o correu electrònic, saldanafetscher@gmail.com.
Subscriu-te al butlletí
Facebook
X
Instagram
YouTube
WhatsApp
Telegram
TikTok